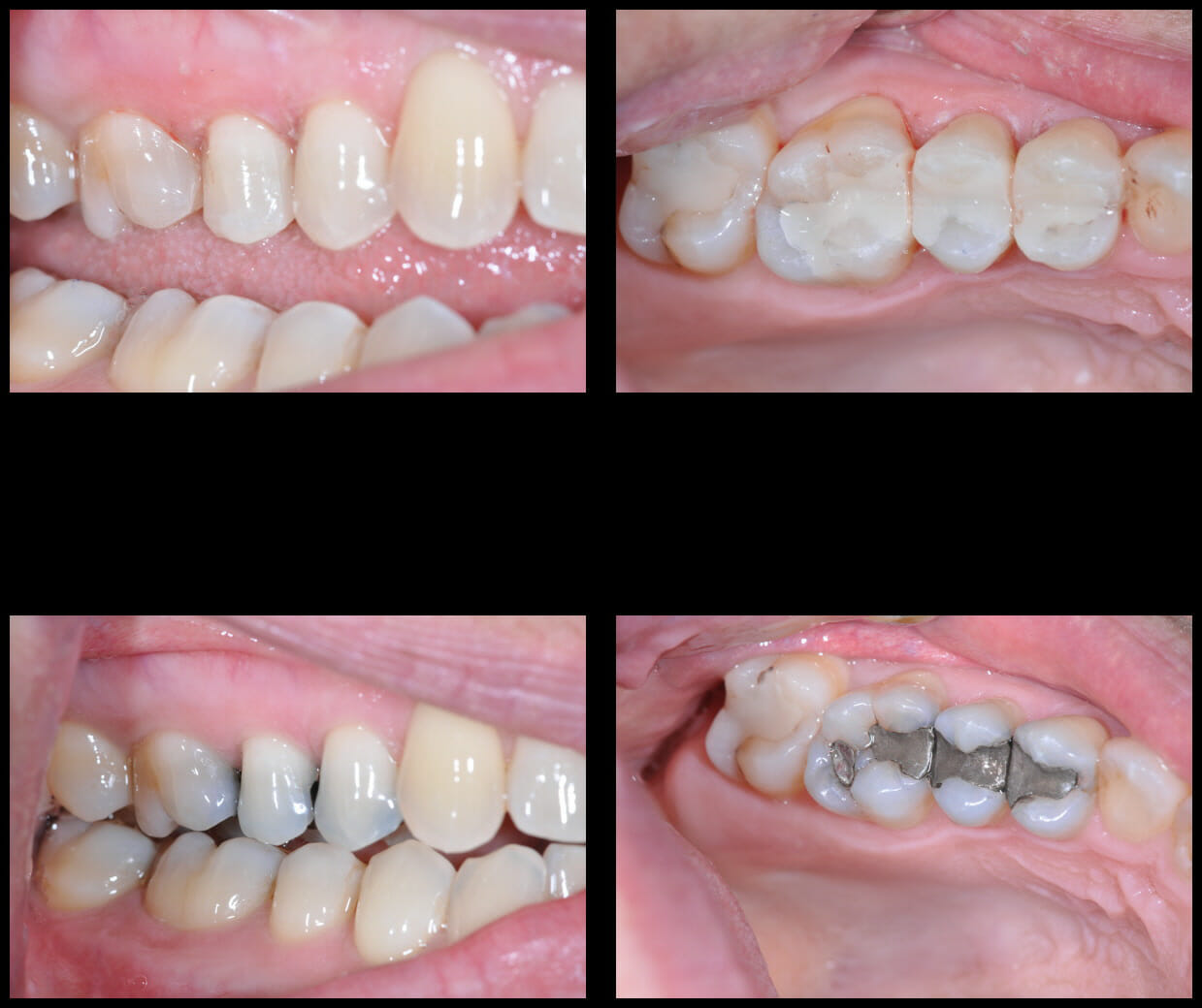
Fillings replace parts of teeth that have been damaged by fracture or cavities. They can be made of metal or tooth-colored materials. Fillings are recommended when there is a small amount of damage to a tooth, and the tooth still has plenty of strength to hold together. When the damage to the tooth becomes so large that the tooth is not strong enough to hold together on its own, a crown is indicated to fix the tooth.
Teeth fracture for many reasons. Sometimes a fracture is a result of a cavity weakening the tooth enamel. Fractures can also happen as a result of trauma, such as a fall or car accident, biting your fingernails or using your teeth as tools to open packaging or holding hard objects between your teeth. Clenching and grinding teeth results in wearing the teeth down, but also commonly cracks tooth enamel. Fractures can result from habits such as crunching into hard objects like ice cubes and hard candy. Sporting injuries make it important for both kids and adults to wear mouth guards when participating in organized and back yard sports. If the part of the tooth that is broken away is shallow, in the enamel or only slightly into the deeper parts of the tooth called the dentin, a filling can replace the damage.
Cavities or decay are another reason that a filling would be recommended for a tooth. Decay is a result of plaque or acid in contact with your tooth for a period of time causing damage. See our blog post “How Cavities Happen and What To Do” to read more about it. If a cavity has done a small amount of damage, it can be fixed by a filling. Large cavities can infect the nerve of a tooth or cause overall weakening of the tooth. Large areas of damage cannot be fixed with a filling. They need more protective and stabilizing coverage, like a crown.
There are several steps involved in placing most fillings in teeth. Usually, a tooth will need to be numbed before it can be shaped and cleaned to have a filling placed. I use a high speed, low vibration drill to remove the damaged or decayed tooth structure. The healthy tooth surface is then shaped and treated to allow the best bonding of the filling material. I will use a liner under most fillings on back teeth to help decrease chances of sensitivity due to hot and cold after the filling is complete. A tooth-colored composite filling material is then placed in the tooth and shaped to replace the missing tooth structure. Fillings on front teeth are sometimes composed of several different layers of filling material to mimic the color and appearance of natural teeth. Fillings on back teeth may be placed in several layers due to filling thickness. A UV light is used to harden the composite filling material for 5 to 20 seconds per layer. We will then use the dental drill with shaping and polishing tips to refine and finish your filling.
In modern dentistry there are several different options for filling materials. The 2 most common options are silver filling or tooth-colored filling. Amalgams or silver fillings are less common these days. They are composed of a combination of several metals including mercury. We have not used amalgam in our office for over 20 years. Composite fillings or tooth-colored fillings are the types of fillings we do in our office. Once the tooth surface is prepared, the composite filling bonds to your tooth structure and creates a strong and natural looking restoration for your tooth. The outside of the composite filling is shaped and polished to look as much as possible like your original tooth structure. The result is a natural looking, strong and healthy tooth.
It is not uncommon to have some hot or cold sensitivity after a filling. The tooth is recovering from the treatment it has received. The temperature sensitivity should be mild and get better, less intense and less frequent, each day. The sensitivity should happen only in response to temperature. It should not be spontaneous or related to the bite. If you experience sensitivity related to biting on the new filling, with or without food, please call our office. We may need to see you in the office to adjust the filling. On the day that the filling is placed, the numbness can make it difficult to get the bite adjusted perfectly. Coming back on another day for an adjustment allows you to “feel” when your bite is just right. If the sensitivity that the tooth had before the filling continues or gets worse, the problem may not be related to the new filling, but a result of the previous damage to the tooth.
Sometimes the damage that a tooth sustains cannot be fixed with just a filling. A filling may be the first attempt to solve a tooth’s problems. If symptoms start or continue after a filling has been placed, please call our office. We will see you to determine what is happening with your tooth and nerve. Sometimes the previous damage to your tooth was significant enough that it will require treatment to the nerve or a restoration that gives more coverage and stability to your tooth, like a dental bridge.
How you take care of your fillings will greatly affect how long they last. Brushing twice a day and daily flossing are your best defense against your fillings breaking down. When plaque and tartar are allowed to remain around the edges of fillings, they can degrade the filling’s seal with the tooth and allow new decay to form. Fillings can break or chip if you don’t treat them carefully and avoid chewing harmful foods.
It is important to see your dentist for an examination twice a year. I will look for any problems with your teeth, restorations and gums and do a cancer check. Your hygienist will gently clean around the edges of all of your teeth and fillings to keep them healthy. Fluoride helps strengthen the tooth structure around the edges of your restorations to help them last longer.
Dental filling technology has come a long way in the past 25 years I have been in practice and is continuing to improve every year. I use the highest quality materials available to give my patients the best dental experience possible. Call our office to make an appointment today if you have concerns about your teeth or need a checkup.
Maria Van Huffel, DDS

